Principali linee di ricerca
Biodiversità
Studio della biodiversità vegetale mediante rilevamento, analisi, interpretazione, diagnosi, mappatura e supporto alla gestione di comunità vegetali e Habitat di All. I (Dir. 92/43/CEE).
Analisi della distribuzione, ecologia e demografia di popolazioni di specie di rilevanza conservazionistica (All. II-IV-V Dir. 92/43/CEE, Liste Rosse, progenitori selvatici di specie coltivate-CWR).
Assessment e Red-Listing di specie vegetali e habitat, con riferimento ai protocolli IUCN. Pianificazione e supporto alla gestione di Siti Natura 2000 e Aree Protette.
Studio di specie e comunità vegetali aliene invasive e dei relativi impatti.
Aerobiologia
Aerobiologia di precisione: monitoraggio del microbioma micronico e paucimicronico aerodiffuso indoor e outdoor per la prevenzione e il controllo delle patologie respiratorie aerotrasmesse.
Gestione della banca dati di monitoraggio aerobiologico giornaliero (dal 1982) per studi di Ecologia indirizzate al controllo delle specie aliene e alla valutazione del cambiamento climatico.
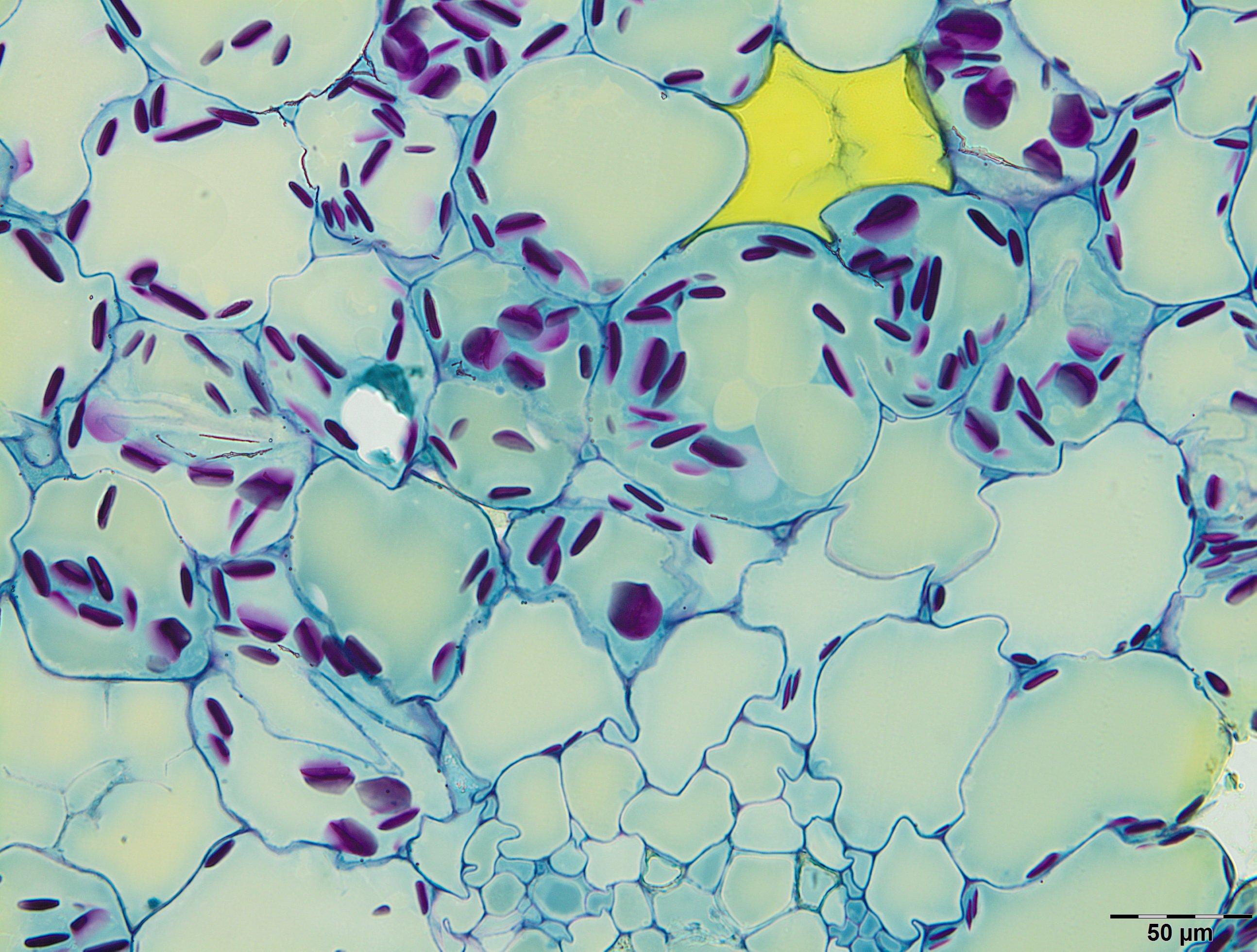
Effetto dello stress ambientale (cambiamento climatico e inquinamento atmosferico) sulla performance riproduttiva del microgametofito in piante anemofile, coltivate e allergeniche.
Risposta agli stress
Risposta delle piante a stress biotici ed abiotici, singoli o combinati: effetti sul metabolismo fotosintetico, stress ossidativo e sistemi antiossidanti.
Studi relativi ai maggiori segnali molecolari (ormonali e non) e dei loro pathway di trasduzione nella regolazione dell’espressione di geni di difesa.
Simbiosi piante -funghi
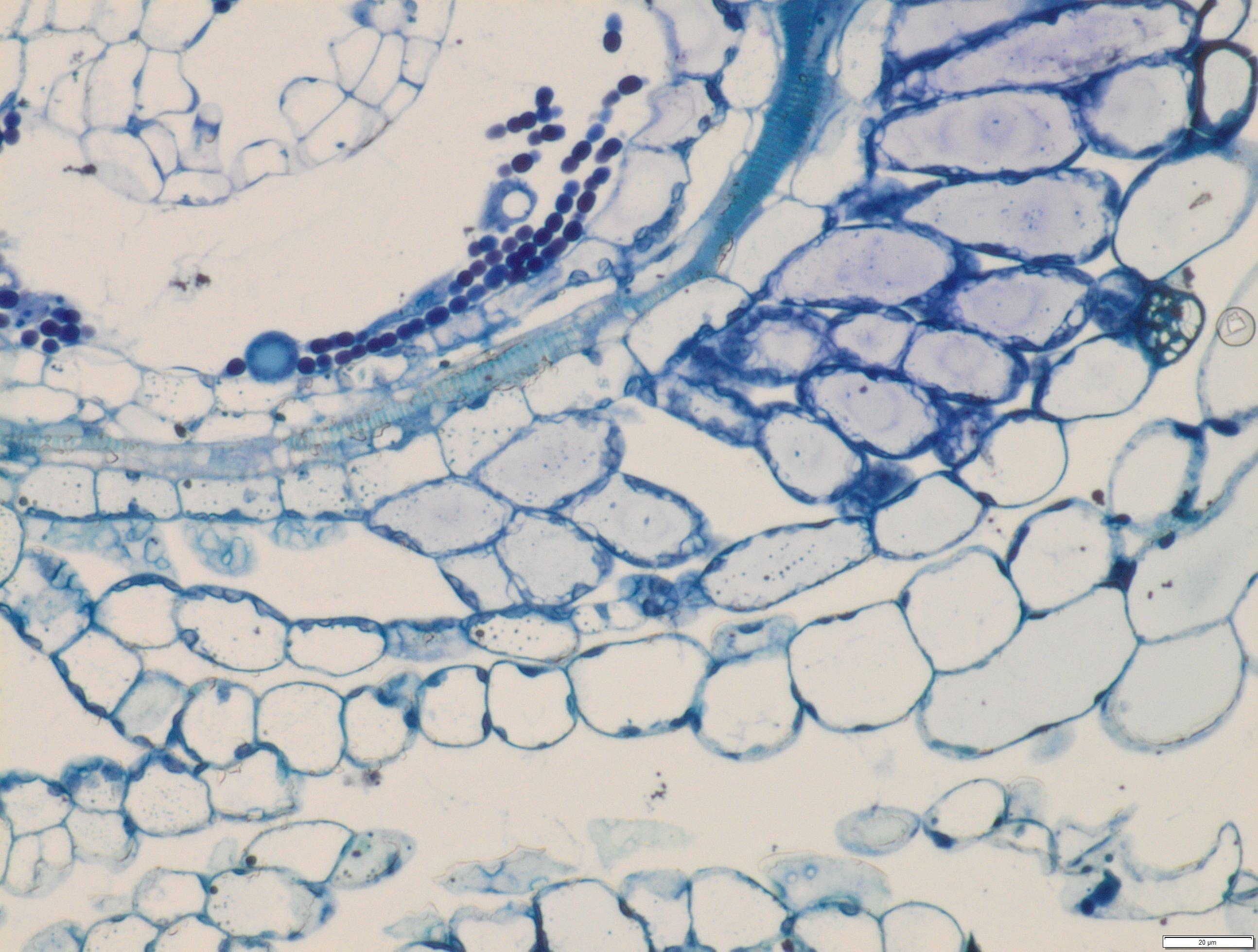
Studio della biologia, ecologia e coltivazione delle specie pregiate di tartufo; analisi ecologica, morfologica e molecolare della variabilità di complessi di specie.
Micorrizazione con specie ancora non in commercio e con tartufo bianco; valutazione e certificazione delle piante tartufigene prodotte da vivai italiani; identificazione di funghi ipogei e certificazione di lotti di tartufo.
Studio del microbioma di tartufaie naturali e gestione di habitat tartufigeni.
Monitoraggio di tartufaie coltivate.
Archeobotanica
Identificazione di materiale vegetale proveniente da reperti storici, archeologici e museali.
Biologia della riproduzione delle piante superiori e Microscopia
Studio della biologia riproduttiva nelle piante superiori con particolare attenzione allo sviluppo del frutto
Studio delle interazioni tra specie vegetali dal punto di vista fisiologico e cito-istologico.
Studi di microscopia ottica ed elettronica volti alla caratterizzazione di specie di interesse agrario ed ecologico, considerando sia linee wild type che mutanti.









Personale docente
Prof.ssa Lara Reale \Scopus \Scholar
Prof.ssa Domizia Donnini \Scholar \Scopus
Prof.ssa Daniela Gigante \Scopus \Scholar
Dott.ssa Luisa Ederli \Scholar \Scopus
Dott.ssa Emma Tedeschini
Personale tecnico Amministrativo
Giuseppe Ardizzone
Assegnisti
Federica Bonini
Anna Grassi
Mara Rondolini
Dottorandi
Andrea Morettini
Contrattisti
Leonardo Baciarelli Falini
Eleonore Cinti
Coordinatore Prof.ssa Lara Reale